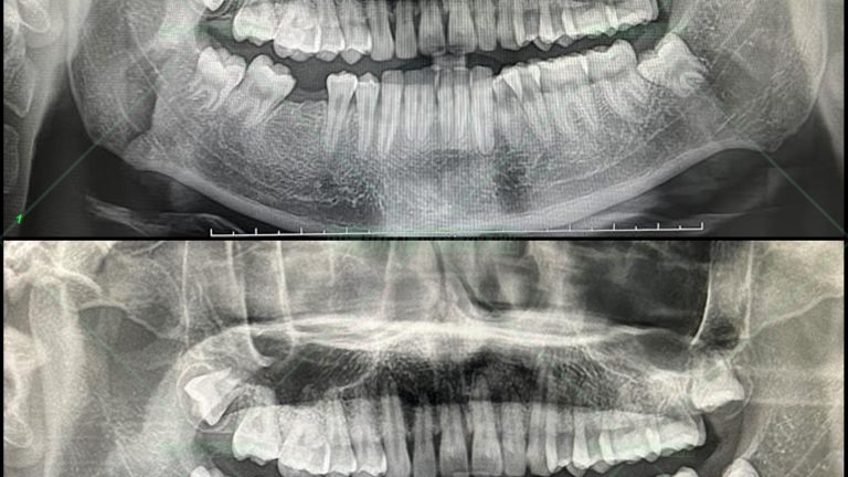
Implant – Phục hồi răng mất 2 hàm cho bác cựu chiến binh năm xưa
Bác cựu chiến binh U80 đã mất răng toàn bộ 2 hàm được hơn 20 năm và không đeo hàm tháo lắp trong suốt thời gian đấy khiến xương hàm teo lép, toàn bộ thời gian chỉ ăn đồ mềm và thường xuyên nuốt chửng vì không có răng để nhai. Bác đã đi khám […]
Chỉnh nha Đ.T.D
Ca này em họ vợ tôi, bắt đầu làm lúc mới học lớp 7 và vượt quãng đường 150km đều đặn hàng tháng từ Lạng Sơn xuống Hà Nội tôi chỉnh cho em, ca có nhổ 4 răng 4 trong 1 lần hẹn 1 cách khá dũng cảm. Kết quả không phụ sự kì vọng […]
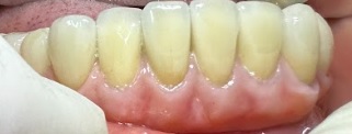
Implant – phục hồi mất răng toàn hàm dưới cho cô U70
Cô U70 tình trạng vệ sinh răng miệng kém, quá nhiều cao răng gây tiêu xương, lung lay dẫn tới chỉ định nhổ các răng không thể giữ lại được ở hàm dưới và phục hồi lại bằng implant hàm dưới. Kế hoạch điều trị bao gồm vệ cao răng toàn bộ các răng hàm […]
Chỉnh nha – 1 số ca lẻ P2
tiếp nối 1 số ca lẻ P1 Bạn D.H.L nữ 36 tuổi đến niềng hàm dưới để đóng kín khe thưa, bạn này thiếu 1 răng cửa dưới và kết quả sau 3 tháng hàm dưới đã đều và kín khe thưa. Bạn N.N.P.L nữ 12 tuổi đến niềng vì muốn làm […]
Chỉnh nha – 1 số ca lẻ P1
Đây là 1 số ca lẻ tôi làm ở phòng khám cũ trước khi nghỉ, hồi đấy việc chụp ảnh và lưu lại dữ liệu theo dõi vẫn khá lười nên còn thiếu sót rất nhiều. Và ngày đấy các khách chỉnh nha là theo phòng khám chứ không theo 1 bác sĩ điều trị […]
240509 Lào Cai solo
Nhân ngày vợ đi công tác tôi có chuyến đi solo Hà Nội – Lào Cai – Ô Quý Hồ – Yên Bái – Hà Nội 2 ngày 1 đêm khá thú vị, cảnh Ô Quý Hồ vẫn đẹp kéo lại 1 chút dư vị Sapa xưa cũ. Vô tình săn mây ngày mưa gió. […]
Implant – 1 số ca P2
1 số ca Implant P2 Bạn nam 21 tuổi mất răng 46 (răng hàm dưới bên phải) đã lâu và được cấy implant sau những tháng ngày mất răng. Bạn nữ 33 tuổi sau khi tái khám kiểm tra cầu răng cũ thấy hở và ê buốt răng do hở đường hoàn tất, […]
Implant – cảm nhận của em Hùng ngay sau cấy Implant R46
Cảm nhận của em Hùng 2kxx ngay sau cấy Implant R46. Cảm thấy không đau, nhẹ nhàng.
Implant – chú Nhân 74 tuổi sau lắp răng implant R35,37,45
Sắp tới ngày thương binh liệt sĩ 27 tháng 7 tôi xin lên 1 video về chú Nhân, là 1 cựu chiến binh tham gia nhiều năm trong chiến tranh Việt Nam. Năm nay chú đã 74 tuổi và được cấy ghép 3 implant răng 35, 37 (hàm dưới bên trái) và răng 45 (hàm […]
Implant – 1 số ca P1
Hình ảnh 1 số ca Implant lẻ – P1 Ca a khách 50 tuổi, phải nhổ 2 răng hàm trên bên phải và 1 răng hàm trên bên trái vì viêm + tiêu xương + lung lay. 3 tháng sau khi nhổ được tiến hành đặt implant và chờ đợi 6 tháng mới lên răng […]
Răng sứ thẩm mỹ – N.T.L
Bạn nữ 29 tuổi làm chủ 1 nhãn hàng thời trang và thường xuyên phải thuyết trình giới thiệu sản phẩm, vì vậy ngoại hình rất quan trọng với bạn, nhất là nụ cười. Đây cũng là 1 ca được tư vấn chỉnh nha trước rồi làm răng sứ, cũng như những nguy cơ khi […]